A few weeks ago, I wrote a letter to Mabel Audrine Larson, a little girl who died of Batten disease last May when she was 4 years and 10 months old. Now, in honor of Rare Disease Day on Feb. 29, it’s time to talk about Batten and other terminal pediatric illnesses. These are diseases you have never heard of, but which take the lives of many children every day. These are diseases so rare they are not “worth” funding, not common enough to study easily or simply ignored by researchers.
Mabel was diagnosed with Batten Disease, also known as Neuronal Ceroid Lipofuscinosis (NCL), when she was 2-years-old after having symptoms for nearly her whole life. The rarity of Batten Disease meant that her doctors were initially stumped. When a genetic disease was finally deemed the culprit, it took months and months of appointments, blood draws, lab work and genetic testing to finally get a devastating diagnosis. Batten Disease is always terminal, and Mabel’s prognosis was 4 to 6 years of age. She never walked, talked or ate solid food. She had visual and hearing impairments and suffered from constant, unending seizures and pain. Her tiny body was never, ever truly still until just a few months before she lost her battle, and yet very few of these movements were intentional. She was a 4-year-old infant with big eyes like blue-green granite, and she had long brown curls. She was tall and impossibly skinny. More than anything else, she was a beautiful little girl betrayed by her own body.
Mabel and her big brother and sister, Nora and Braden, celebrating Halloween.
This heinous disease defined her life, but Mabel was not her disease. Mabel was a 4-year-old girl who loved to dance in the kitchen at midnight with her big sister and brother. On late winter days, when the temperature finally spikes above 50 degrees, Mabel would play with her brother and sister, her best friend Harper and anyone else who wanted to join them on their quilt in the backyard. She celebrated her birthdays, dressed up for Halloween and listened as her sister read her books.
Batten Disease is a neurodegenerative disease, which means it is a disease that affects the brain, and only gets worse. It is called a lysosomal storage disorder because the lysosomes in cells, the part of a cell responsible for waste disposal, are incapable of breaking down a particular fatty acid waste product. The body cells (most notably the brain cells) are incapable of ridding themselves of toxins because the cells lack an enzyme to break down the wastes. These waste products build up in the cells until the cells die. The simple explanation is that Mabel’s body destroyed its own brain.
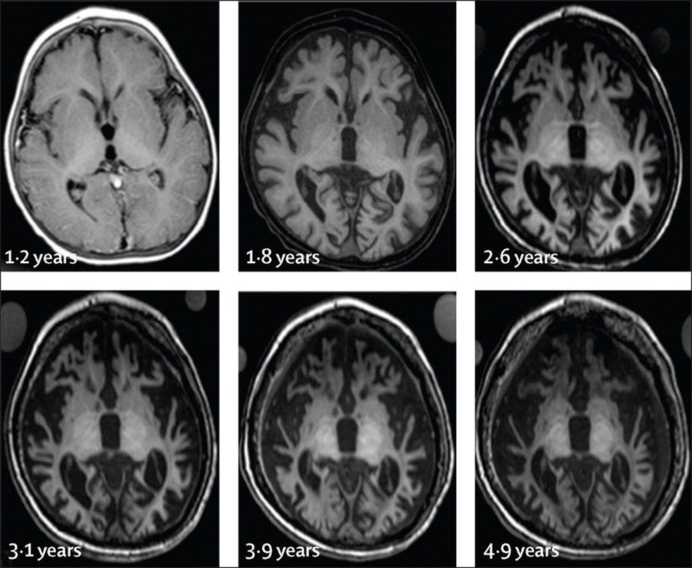
You can very clearly see the atrophy of the brain of an NCL patient here. The white is brain matter. By 4-9 years, there is almost brain matter left.
Batten disease is one of many rare pediatric disease, many of which are terminal or life-threatening. The chances of a child being born with Batten disease are less than .004 percent. There are two major problems with extremely rare diseases. The first is that many doctors, even neurologists and rare disease specialists, are unfamiliar with some of the diseases and, therefore, either feel ill-equipped to provide a diagnosis or do not even realize the disease matching their patient’s symptoms exists. This results in the struggle that Mabel and her family went through, years of sickness with no diagnosis, no understanding and no support. In Mabel’s case, early diagnosis would not have changed the outcome, but that is not always the case. Cystinosis, another lysosomal storage disorder, will cause death by the age of 10 without treatment. With treatment, however, cystinosis patients have lived into their 50s.
An estimated 2,000 people are living with cystinosis. There are only 1,200 people with some form of NCL. Approximately ten children have been diagnosed cerebrocostomandibular syndrome. Compared to the 2,000 children who die of cancer every year, that’s nothing—and that’s why most research and funding goes towards more common illnesses. Here’s the thing, though: there are 200,000 children living with rare diseases, and many of those diseases can be fatal. Taken individually, these diseases seem small and insignificant. Taken as a whole, though, rare disease is a very real beast, one that could very easily rear its ugly head into your life. 1 in 10 people in the United States are living with a rare disease. 50 percent of people affected by rare disease are children, and 30 percent of those children will not live to see their fifth birthday. That’s why you should care. That’s the whole motto of Mabel’s Able, the foundation set up by Mabel’s mom, Ramee, to raise money for Batten disease: Alone, we are rare. Together, we are able.
This year, on Rare Disease Day on Feb. 29, please consider wearing yellow for Mabel and, if you can, donate to Mabel's Able. Alone, we are rare. Together, we are able.


























