Pretty much everyone does not have room for these teeth in their mouth: wisdom teeth. If you are one of the lucky ones who does not have to have them removed, then we all envy you. Getting wisdom teeth taken out is a dreaded process, and just the toothache that it starts out with is painful. Here are the stages that pretty much everyone has or will experience in their lifetime.
1.) The initial tooth ache
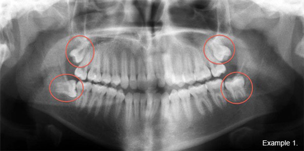
2.) The dentist visit with dreaded news
3.) Finding an oral surgeon covered by your insurance
4.) The pain medication to keep the teeth from hurting
5.) The consultation: how many? What's going to happen?
6.) The morning of
7.) The operation room, waiting to be put out
8.) Waking up not being able to feel anything
9.) Maybe you are still loopy from it, so you make a viral video
10.) Not being able to eat anything solid, pretty much making you feel like a baby
11.) Trying to keep the gauze in your mouth and not gag on it
12.) The next morning: no numbness, but a lot of pain
13.) Missing and wanting solid food, but still eating soft foods because of the pain
14.) Taking the pain killers to keep from having too much pain
15.) Resting and sleeping away the pain
16.) Having everyone ask how you are doing when you are ready to get back into society and function like a normal human being. You tell them everything is okay, but your still in pain.
17.) The pain goes away a little more each day
18.) FINALLY SOLID FOOD
19.) Eating but can't open your mouth wide enough to eat anything big
20.) The pain is gone! You are back to normal!
At least you only have to go through it once, hopefully.









































